Prochaine portée « G » – Projettée mi-avril 2026

Nous espérons que la famille s’agrandira.

Suite aux magnifiques chiots de la portée « F » (santé et comportement avant toute autre chose), nous avons décidé de reprendre le même étalon.

La saillie a eu lieu les 8 et 9 février 2026.

Si tout se passe comme prévu, la naissance des chiots aura lieu en avril 2026 et ils seront disponibles pour adoption en juin.

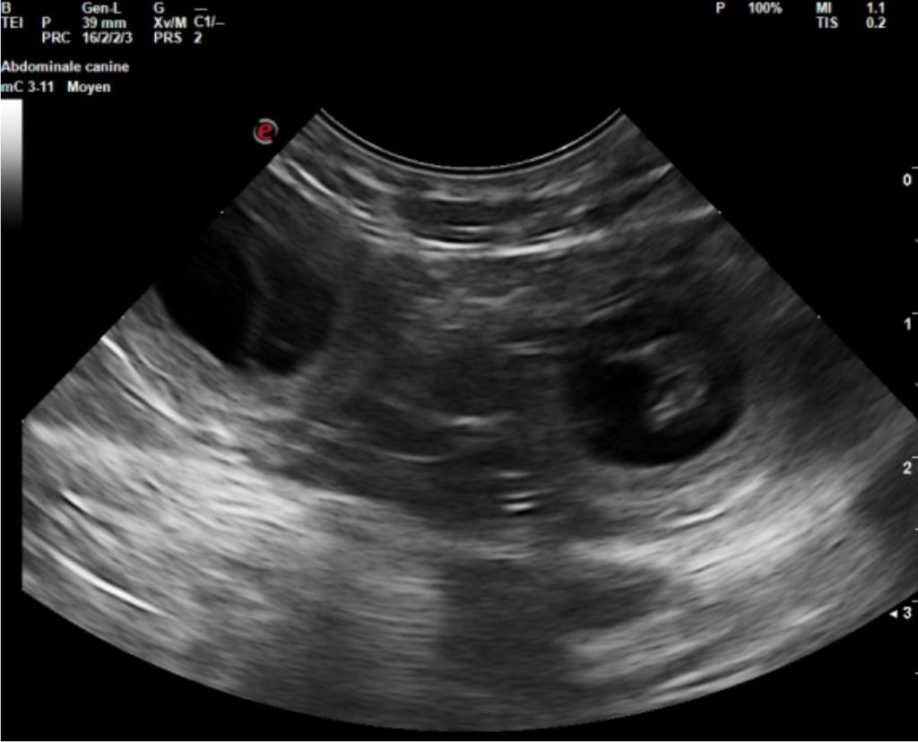
La gestation est confirmée.

Portée G – Echographie

Pour plus d’information, merci de prendre contact par téléphone aux

+41 79 647 87 37

ou encore par message électronique à l’adresse suivante :

info@rivesdehaute-sorne.ch